El síndrome de Haglund, también conocido como “talón de Aquiles hipertrófico”, es una condición médica que afecta el hueso calcáneo, causando molestias y limitaciones en la movilidad de quienes la padecen. Desde Centres Cruz Navarro, expertos en Fisioterapia en Barcelona, explicaremos en detalle esta deformidad ósea, sus posibles causas, síntomas y efectos, así como los tratamientos conservadores disponibles para aliviar sus molestias.
¿Qué es el Síndrome de Haglund?
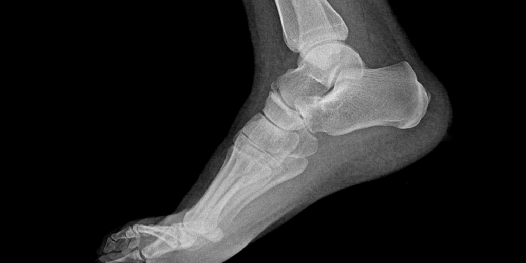
Esta condición se caracteriza por una prominencia ósea en la parte posterior del calcáneo, el hueso que forma el talón. Esta protuberancia puede causar fricción e irritación en los tejidos blandos circundantes, como el tendón de Aquiles y la bolsa serosa, lo que resulta en dolor y molestias al caminar o al realizar actividades que involucran el movimiento del pie.
Causas del síndrome de Haglund
Sus causas no siempre están claras, pero se cree que varios factores pueden contribuir a su desarrollo:
- Anatomía del pie: La forma del pie, como un arco alto o un pie que tiende a pronar (rodar hacia adentro) al caminar, puede aumentar la presión sobre el talón y contribuir a su desarrollo.
- Calzado inadecuado: El uso de zapatos ajustados o con un tacón rígido puede ejercer presión sobre el talón, lo que podría desencadenar la formación de la protuberancia ósea característica.
- Actividades repetitivas: Realizar actividades que impliquen movimientos repetitivos del pie, como correr o saltar, puede aumentar el riesgo de desarrollar esta condición.
- Factores genéticos: Algunas personas pueden tener una predisposición genética a desarrollarlo.
Síntomas y efectos del síndrome de Haglund
Los síntomas pueden variar de leves a severos e incluyen:
- Dolor en la parte posterior del talón, especialmente al caminar, correr o al estar de pie durante largos períodos.
- Inflamación y enrojecimiento en el área afectada.
- Rigidez y sensibilidad en el talón.
- Formación de callosidades o bultos en el área afectada.
A medida que la condición progresa, el dolor puede volverse crónico y afectar significativamente la calidad de vida del paciente, limitando su capacidad para participar en actividades diarias o deportivas.
Tratamientos del síndrome de Haglund
Su tratamiento suele comenzar con enfoques conservadores destinados a aliviar el dolor y reducir la inflamación. Estas medidas pueden incluir:
Reposo y modificación de actividades: Evitar actividades que agraven el dolor, como correr o usar calzado ajustado, puede ayudar a reducir la irritación en el talón.
- Terapia física: Ejercicios de estiramiento y fortalecimiento pueden ayudar a mejorar la flexibilidad y la fuerza de los músculos y tendones del pie, reduciendo así la presión sobre el talón.
- Terapia de frío y calor: Aplicar compresas frías o calientes en el área afectada puede ayudar a reducir la inflamación y aliviar el dolor.
- Uso de calzado adecuado: Optar por zapatos con un ajuste holgado y un tacón bajo puede reducir la presión sobre el talón y proporcionar un mejor soporte para el pie.
- Órtesis: El uso de plantillas ortopédicas personalizadas puede ayudar a redistribuir la presión sobre el pie y mejorar la alineación, lo que puede reducir el malestar causado por este problema.
En casos más graves o persistentes, se pueden considerar opciones de tratamiento adicionales, como infiltraciones de corticoides para reducir la inflamación o, en casos extremos, cirugía para extirpar la protuberancia ósea y aliviar la presión sobre los tejidos blandos.
En conclusión, el síndrome de Haglund es una condición que afecta el hueso calcáneo y puede causar dolor y molestias en el talón. Si experimentas síntomas de esta condición, es importante buscar atención médica para recibir un diagnóstico preciso y un plan de tratamiento adecuado que te ayude a aliviar el dolor y mejorar tu calidad de vida.
Si deseas saber más o consultarnos tu caso, no dudes en ponerte en contacto con nosotros.

